
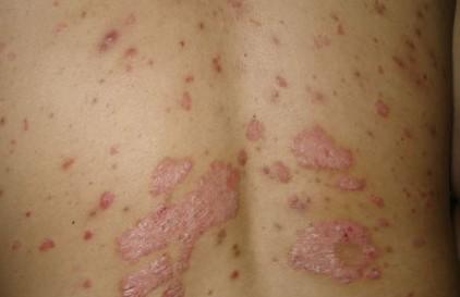
牛皮癣应如何治疗才更有效 牛皮癣已逐渐成为一种普遍性的皮肤病,越来越多的患者朋友深受其害,对于牛皮癣的治疗众口不一,这种情况下使得患者朋友很难选择佳的治疗方式,导致的病情的拖延,直至加重,郑州肤康皮肤病医师指出:牛皮癣的治疗需要对症下药,患者朋友不能盲目选择,在治疗牛皮癣方面一定要选择正规皮肤病医院的科学的治疗方法。
	
那么牛皮癣应如何治疗才更有效?医师给出了以下介绍:
(1)一般治疗 先应去除一切可能的诱发因素,如采用抗感染治疗去除感染因素、避免不必要的外伤、解除患者的心理压力等;始终保持轻松乐观的精神状态、遵守正常的生活作息时间、中医药的全身调理,对疾病是大有裨益的,不可忽视。
(2)外用药物疗法 选用合适的外用药物,原则上进行期皮损宜用缓和及少刺激性的药物,静止期和退行期可外用浓度稍高的外用制剂,但应从低浓度开始应用,逐渐增加药物的浓度。
(3)内用药物疗法 传统的有普鲁卡因加维生素C 静脉封闭疗法。维甲酸对各型牛皮癣均有较好疗效,但应注意其不良反应如皮肤黏膜干燥脱屑、脱发、暂时性肝功能受损,可逆性高血脂及致畸等。对继发于上呼吸道感染及扁桃体炎者,可早期给予抗生素,不仅去除诱发因素,而且已证实其有免疫抑制的抗炎作用,因此效果较好。细胞毒性药物如甲氨蝶呤等对牛皮癣有疗效,但不良反应大,除了谨慎使用外,配以具有免疫调节和保肝解毒作用的白芍总苷,有协同治疗功效。类醇皮质激素仅用于红皮病型,脓疱型及关节病型牛皮癣患者。中医中药方面,以活血化瘀为主要治则,针对不同的诱发因素、不同的皮损病状、不同的病期阶段,辨证施治酌情加用清热解毒、养血去风等中药。
(4)物理疗法 包括光疗,光化学疗法,矿泉浴及煤焦油等均可选用。
牛皮癣应如何治疗才更有效 以上就是医师对于牛皮癣应如何治疗才更有效的介绍,通过了解我们知道了,牛皮癣的治疗重在早期,需要制定一个科学合理的治疗方案,当然这也需要患者朋友们正确的选择,切忌盲目的选择一些偏方或者一些非正规医院的错误治疗方法,在此郑州肤康皮肤病郑重承诺:我院采用为正规的牛皮癣治疗手段,有着的医师和的诊疗设备,为患者朋友的健康保驾护航,欢迎广大患者朋友前来咨询就诊,后祝愿大家早日康复。

郑州肤康中医皮肤病医院位于交通便利、医疗环境幽雅的郑州市南阳路,是一家集医疗、科研、预防、保健于一体的规范化、专业化、现代化医疗单位,是河南地区卫生部门批准的家皮肤病专科医院,自创立之初一直致力于白癜风、牛皮癣等皮肤病的研究和治疗。随着改革...[点击阅读]
 
        
      
 
        
      
Copyright2005-2020  www.zzfkyy.cn All Rights Reserved. 郑州肤康皮肤病医院
      咨询电话:0371-86635912      接诊时间:8:00 ~ 20:00(节假日不休)
      地址:河南省郑州市金水区南阳路285号
      网站备案号:  豫ICP备16015922号
      查看地图>>
      
      
      
      特别声明:本站内容仅供参考,不作为诊断及医疗依据,详情请遵医嘱
    
